You will remember that I am in the middle of transplants, no I mean implants, fun.
A couple of days before my appointment for the next major step in the process, I notice that the temporary crown over the implants is wobbling a bit. I am eating sashimi at the time. A bit of fish get stuck under the crown and I try to hoick it out with the end of my tongue. Oh no! The crown comes right off. Initially I am not too worried. It is only the plastic crown and I should be able to jam it on again.
I pull out the crown and look at it. Oh No! One of the implants has also come out.

Anyway, first thing the next day I phone Kinjo sensei. Luckily he can see me that afternoon. I am somewhat put down as I anticipate having to go through surgery again.
I show him the guilty object and he beams crying,”No problem Neil san,I can fix this easily.”
Oh Yes!
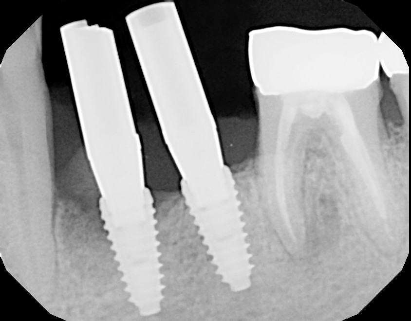
I now understand that the implant is a complex piece of engineering. The bit that is screwed into the jawbone is a hollow, threaded sleeve into which is screwed a secondary part, which you see in the photo above. I turns out to be relatively straightforward to reinstall. What a relief.
As I am at the clinic Kinjo sensei and his wonderful nurses go ahead with the next stage of the procedure. I do not understand what they are doing but it is very high tech. It takes 90 minutes.

So pleased that my implant was not untimely ripped from my jaw by sashimi.