We Japanese still use cash a lot. Not as much as pre covid but significantly more than the States or Europe. In July new designs for the 10,000, 5,000, 1000 yen notes were released. Great excitement!


It has taken a long time for the new bills to filter down into the system. It is only now that they are appearing regularly.


I find them a bit disappointing. Japan has wonderful graphic art but these notes are super traditional. A more Manga approach would have been better.
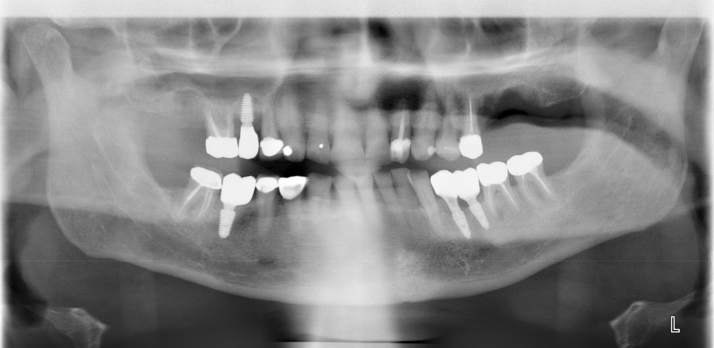
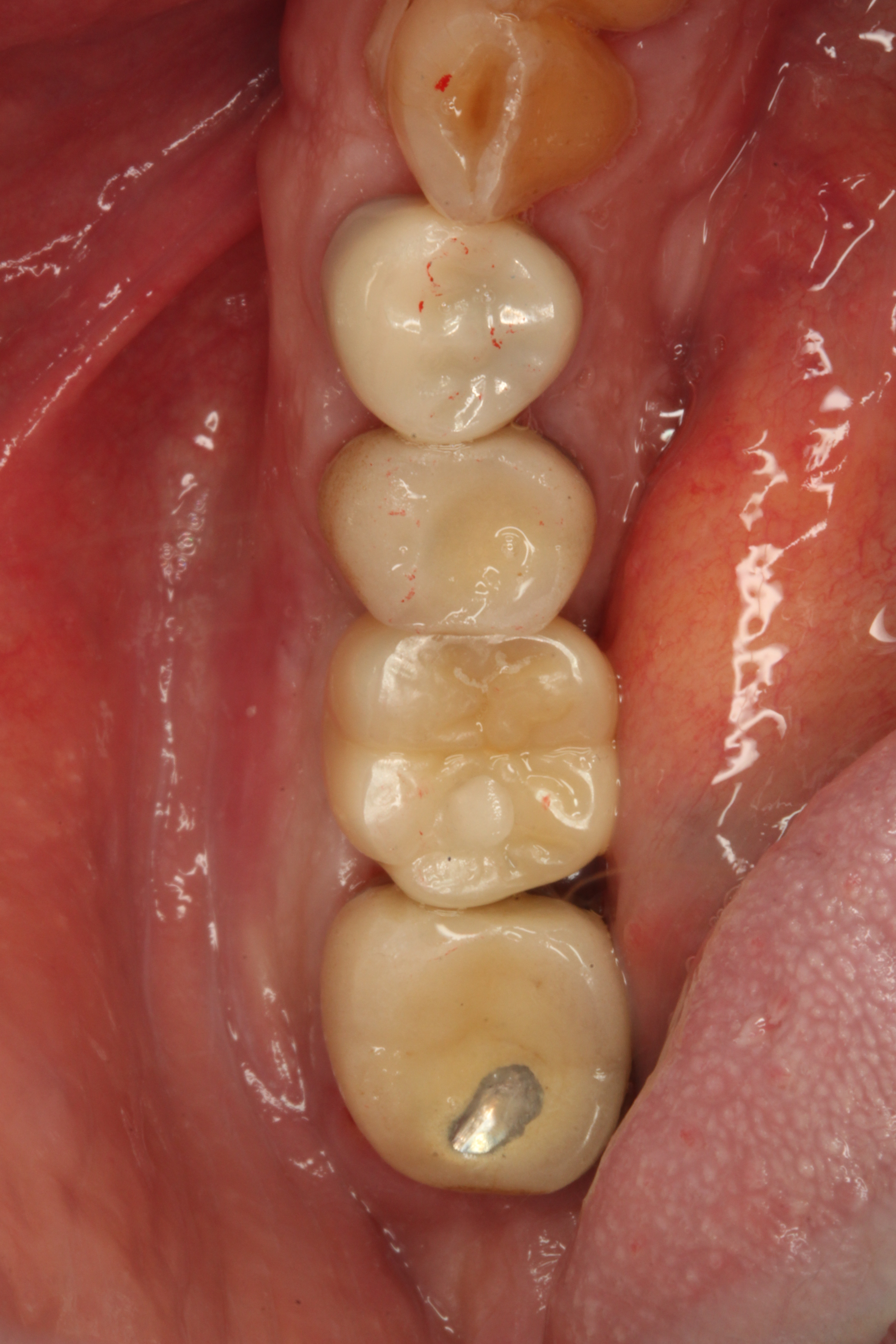
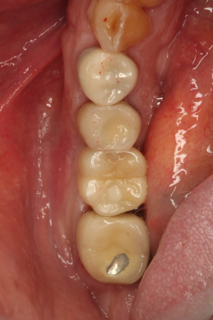
I go the dentist for final fitting of the implant that replaces the molar that was untimely ripped in London earlier this year.



The dentist is of course just an excuse to go to nearby fish market.


It is so difficult as I want to buy everything! I manage to control my gluttony a bit and leave with only a smallish octopus. This I eat with potatoes. https://www.kalofagas.ca/2022/11/14/galician-style-octopus/
Delicious and what’s more the new tooth works!