I return from hospital and do as I am told. I lie on my greasy, foetid, sleeping mat, take antibiotics and take it easy. I fully expect to be fighting fit in a couple of days. It does not work out like that at all!
I get more severe pains in my chest and after a day of ‘I’m not a poofter’, I ask Nurse James to take me back to the glorious Zuckerberg SF General Hospital.

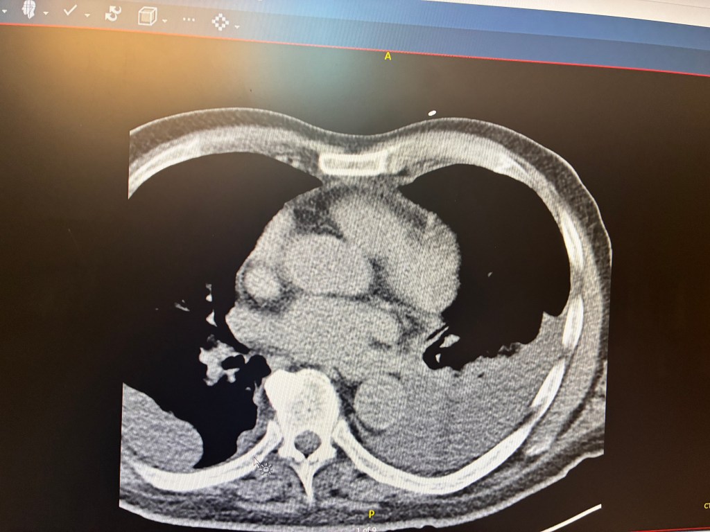
I am immediately put back into Emergency and the next day have an operation to suck fluids out of my lungs.


I am transferred to an amazing room with a great view over The Mission.




After the operation, I experience quite a lot of pain. I demand morphine but they are strangely reluctant to give me any. However, a nice nurse comes around with a bong.

So, I stay in hospital day after day waiting for my lungs to drain. It is a wonderful way pass the time.
A stream of wonderfully amusing, friendly nurses and doctors come visit. The diversity of nationalities is huge. Eritrean, Nigerian, Irish, Palestinian Phillipino, Chinese, Lebanese, Japanese, Lancashire, German, Vietnamese, Indian, Puerto Rican and many more. Very happiness making. My favourite is a young nurse from Ghana. His hobby is to watch football matches in the great stadiums of the world.
“What is the best match you have seen?”
“Rangers/Celtic at Ibrox Park by a million miles! Everyone was hopelessly drunk and fighting. It was not like being on Earth!” Yay Scotland! Radge!

Anyway, after 10 days, I am released on Xmas Eve.


I hope all Jewish buddies had a wonderful Hanukkah, likewise Christian brothers and sisters for Xmas. Everyone, please accept my very best wishes for a happy and prosperous 2026.
I cannot thank the staff at Zuckerberg SF General enough. They are all stars!
sorry i failed to react to your sffd message of Dec 11 and now see that matters deteriorated somewhat. Glad to see however that after relenting to your inner poufter you’re now in good hands and recovering.
Stay well Neil.
Bises from Belgium
Mike
Yay Mike!
All happiness to you and your huge package for 26.
Many thanks for kind wishes.
Neil
Dear Neil,
Wishing you and us followers more birds, more sailing, more SF, more James, more fixing your boat, more lovely people of Okinawa, more octopus, more art, more science, more singing, more road trips and far less hospital stories.
Huge hug from the Netherlands!
Anne Mieke
Dearest Mieke,
What a very sweet comment! I will do everything I can to live up to your expectations!
Much love and happiness to you and your family.
Neil